条件を指定して検索
症例集
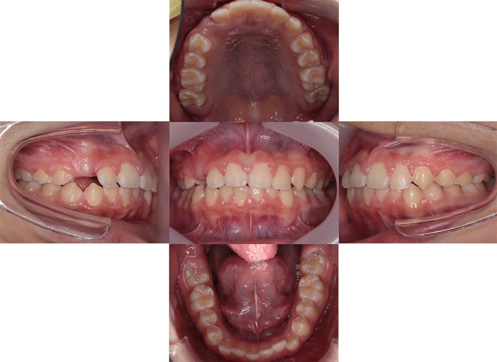
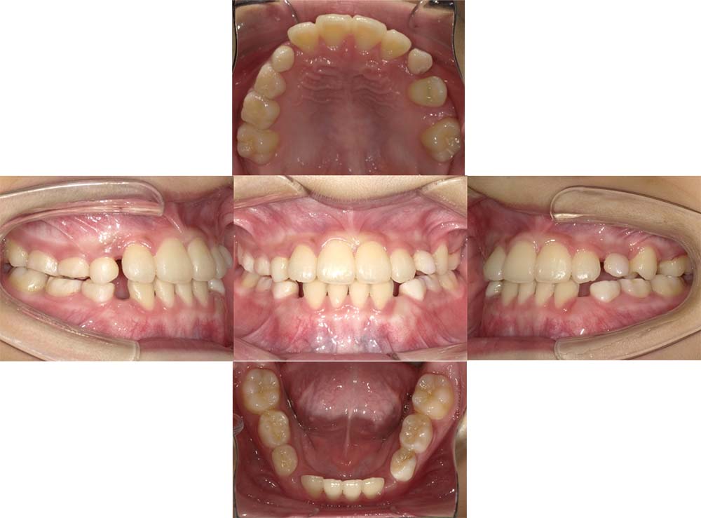
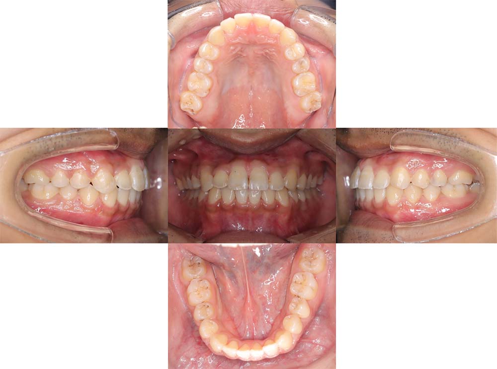
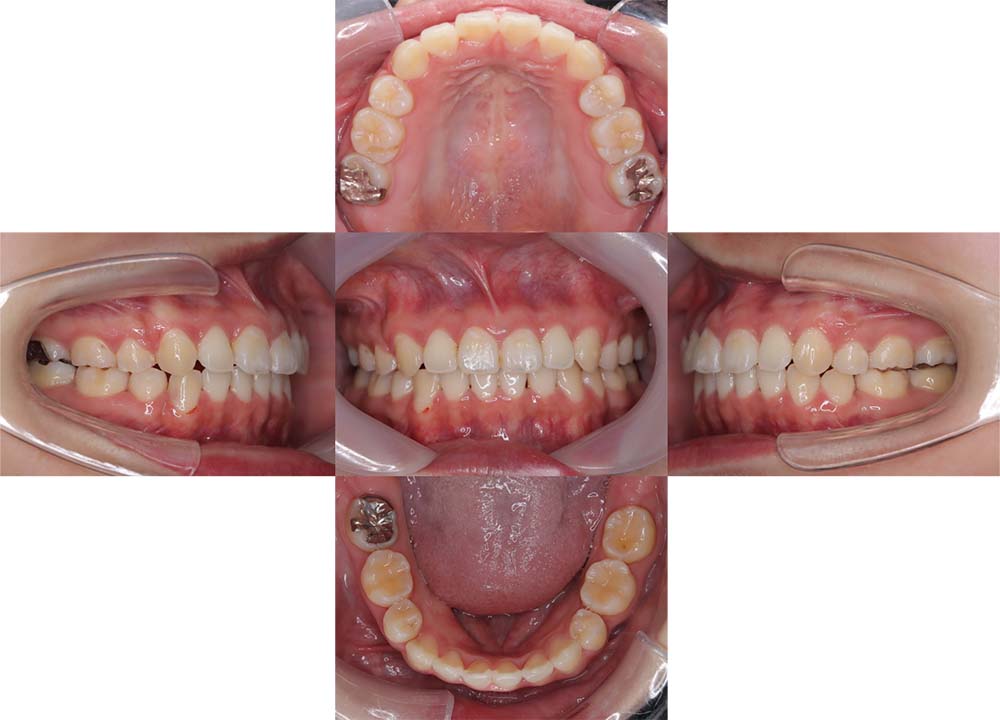
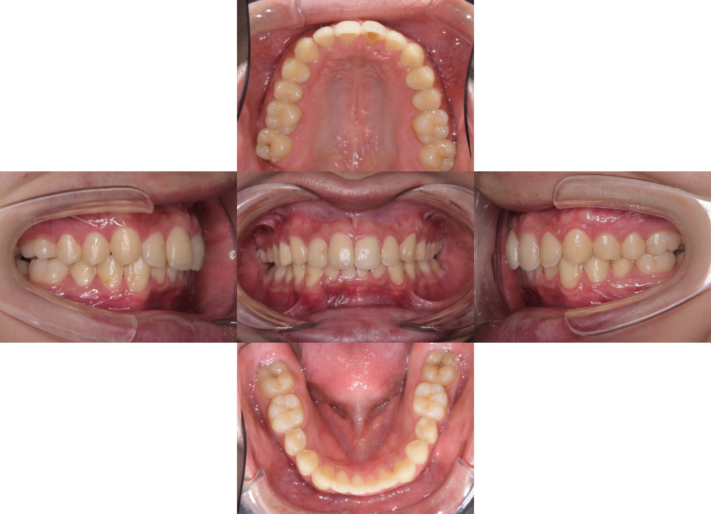
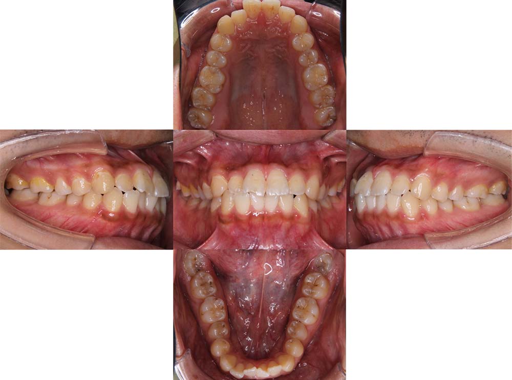
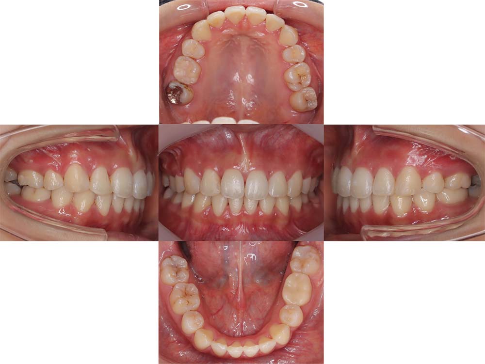
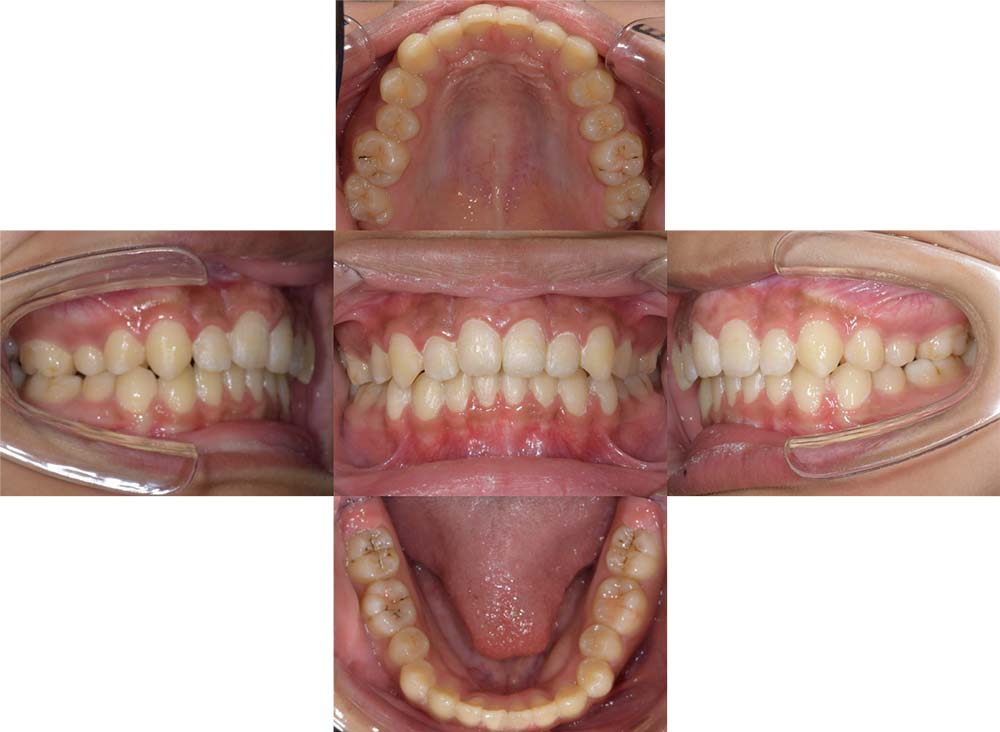
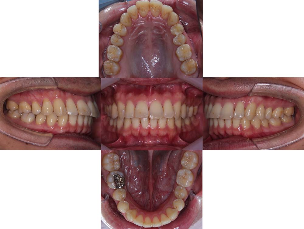
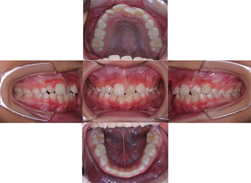
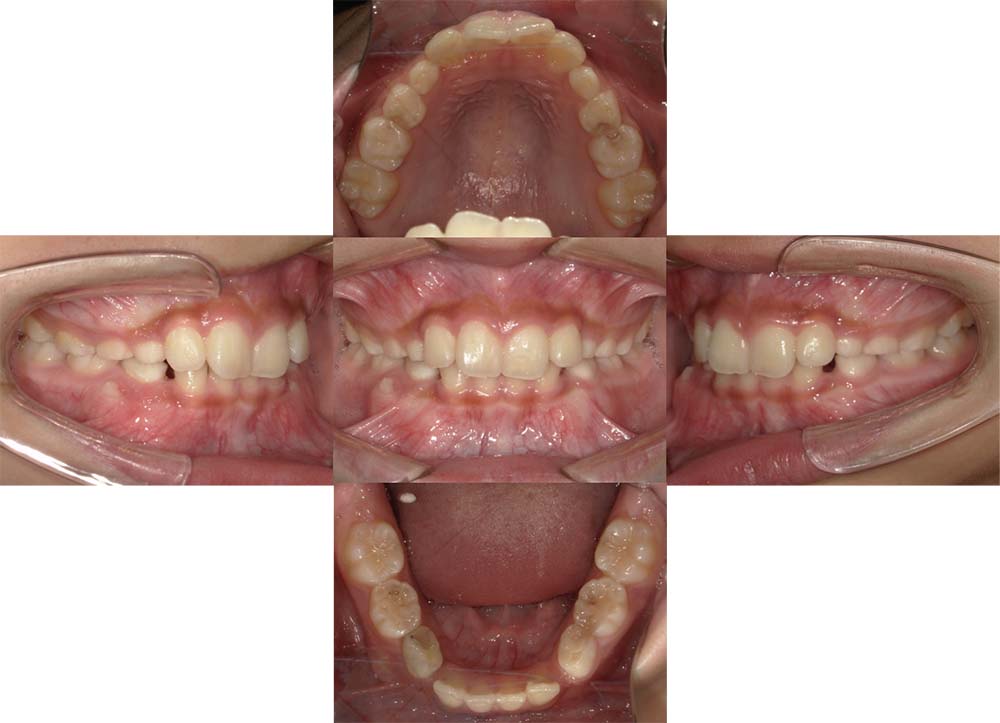
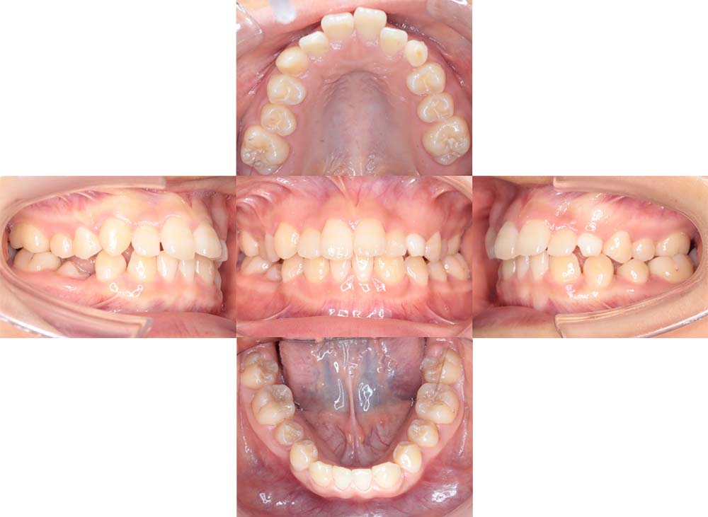
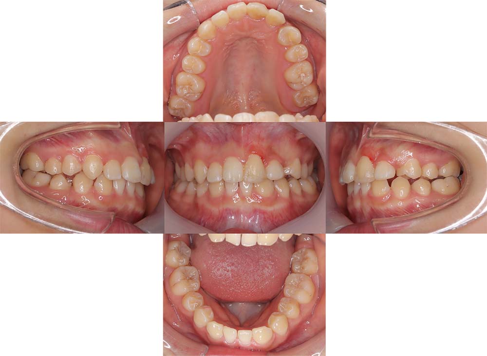
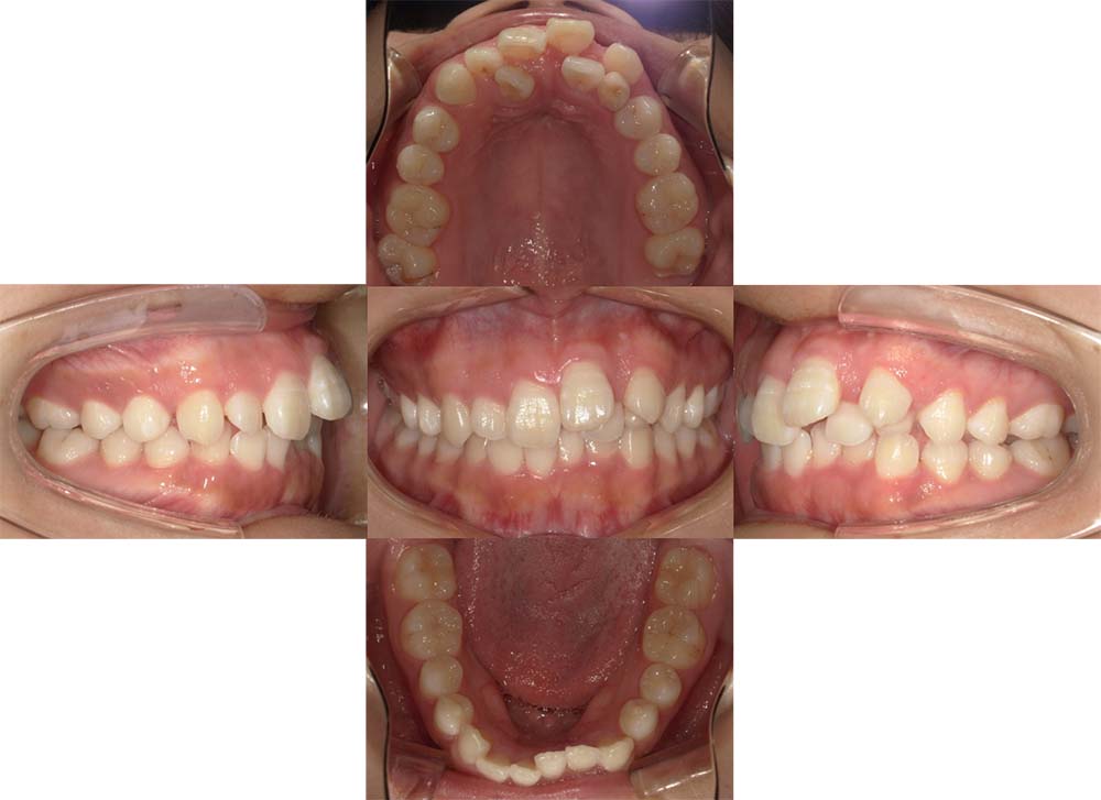
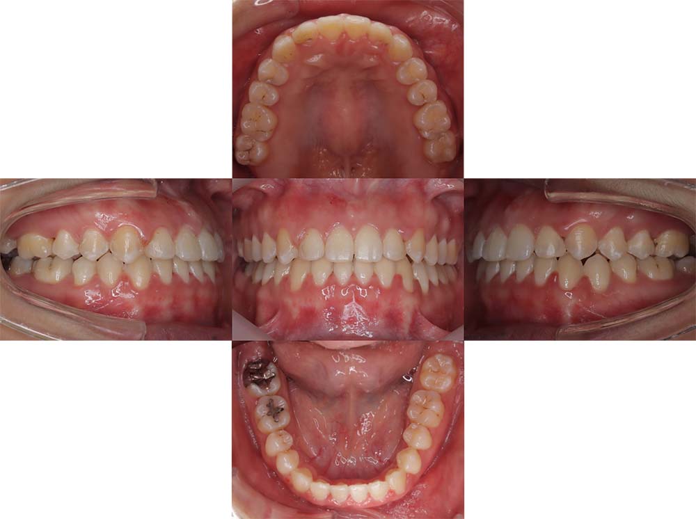
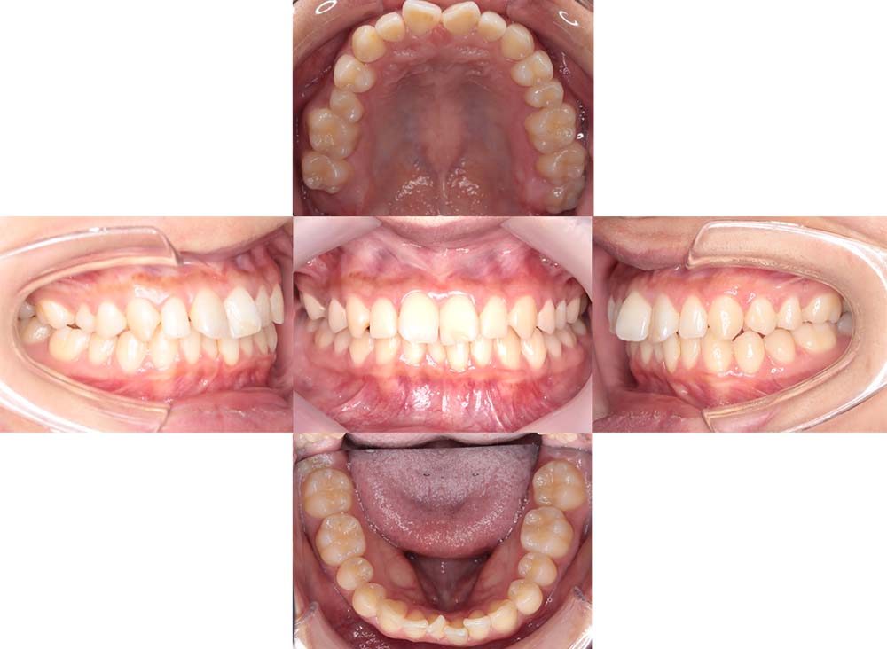
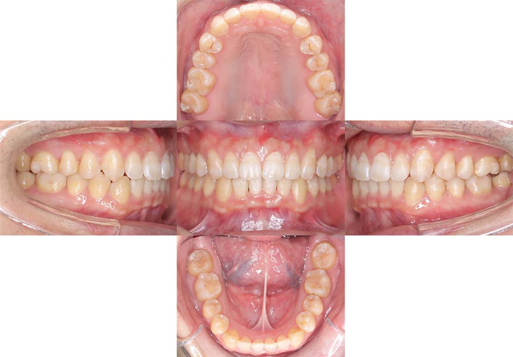
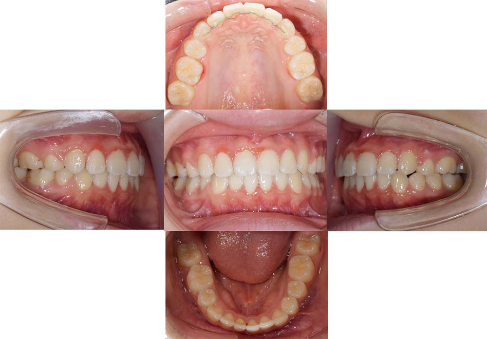
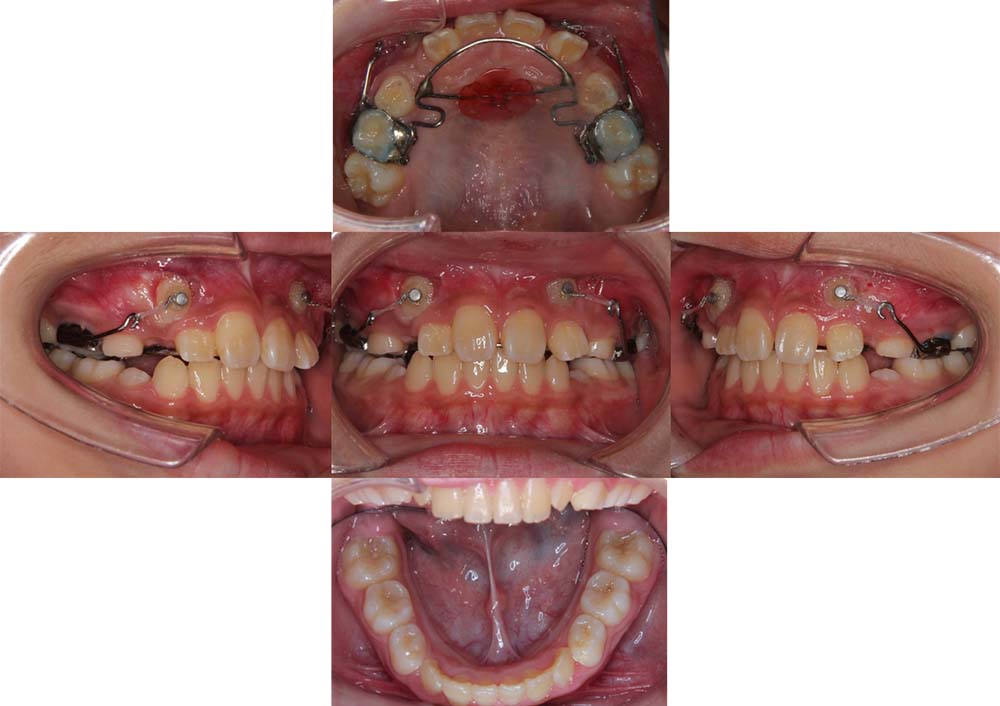
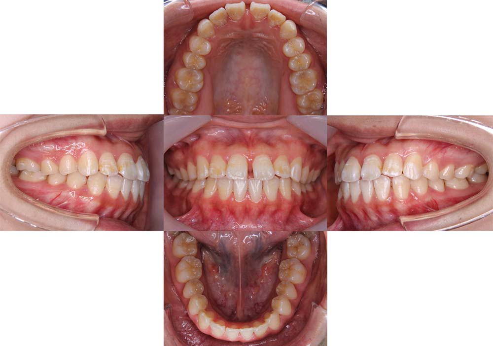
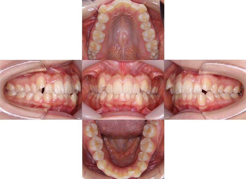
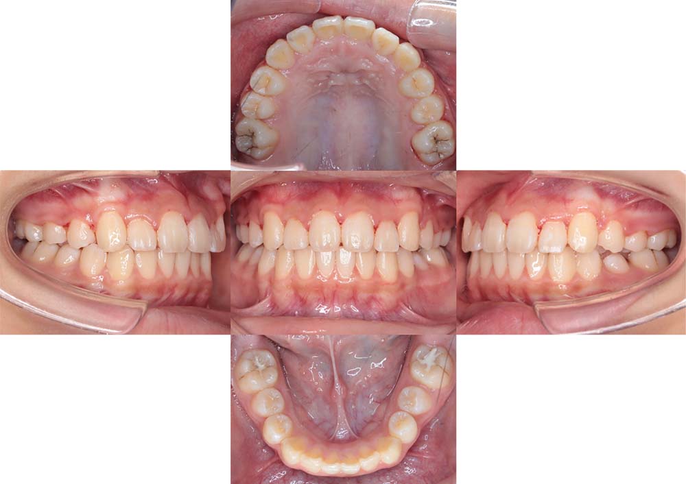
症例01
| 主訴 | 歯並びがガタガタしている。 |
|---|---|
| 診断名あるいは主な症状 | 叢生 |
| 年齢/性別 | 22歳・男性 |
| 矯正ステージ | 大人の矯正治療 |
| 治療方法 | ワイヤー矯正 |
| 抜歯部位/抜歯有無 | 非抜歯 |
|---|---|
| 治療内容 | 上顎大臼歯の遠心移動により前歯のガタガタを排列スペースを獲得し全顎的な排列を行った。 |
| 費用 | 85万円程度(2025.10時点の料金となります。) ※矯正基本料金、審美ブラケットを含む |
| 治療期間 | 2年4ヶ月 |
| 主なリスク・副作用 | 痛み、歯根吸収、歯肉退縮、虫歯、後戻り |
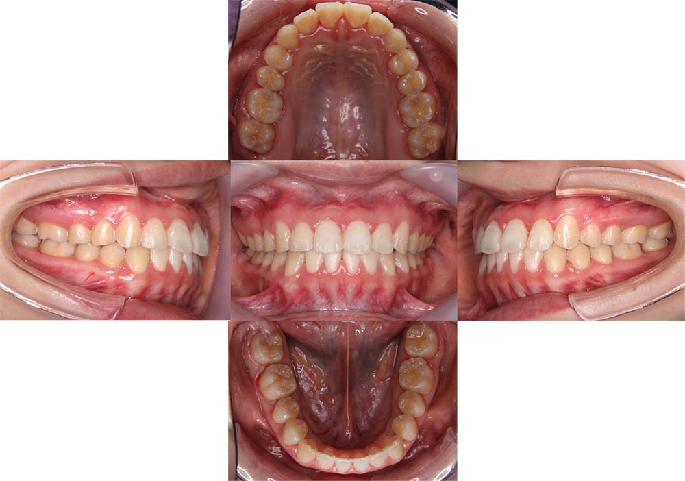
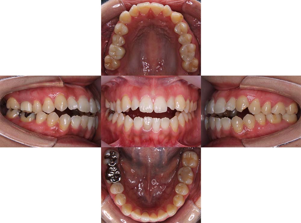
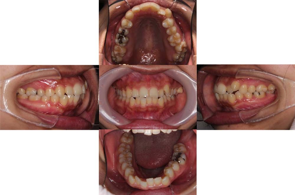
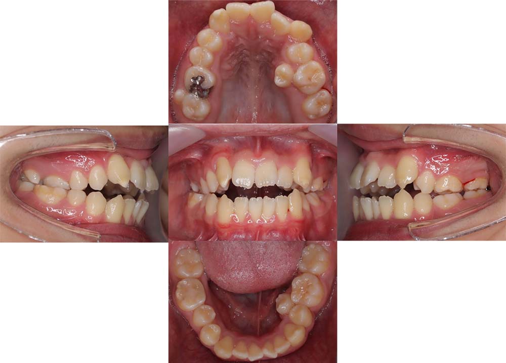
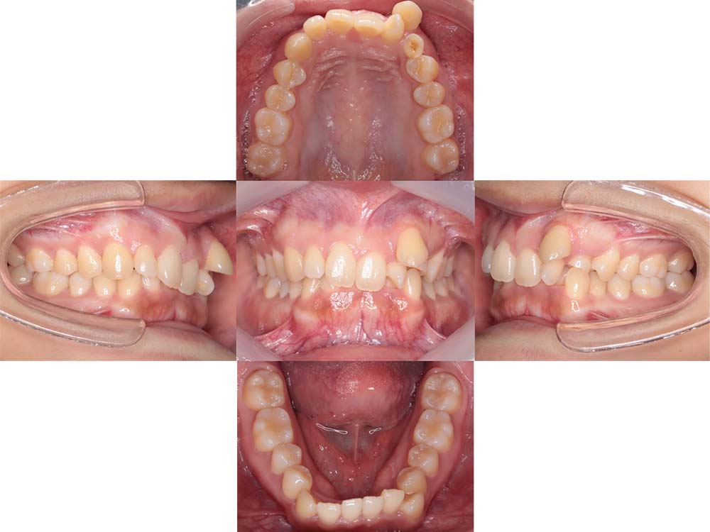
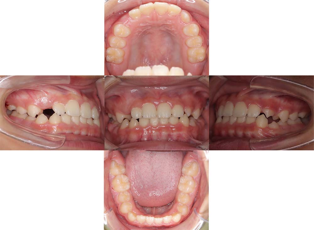
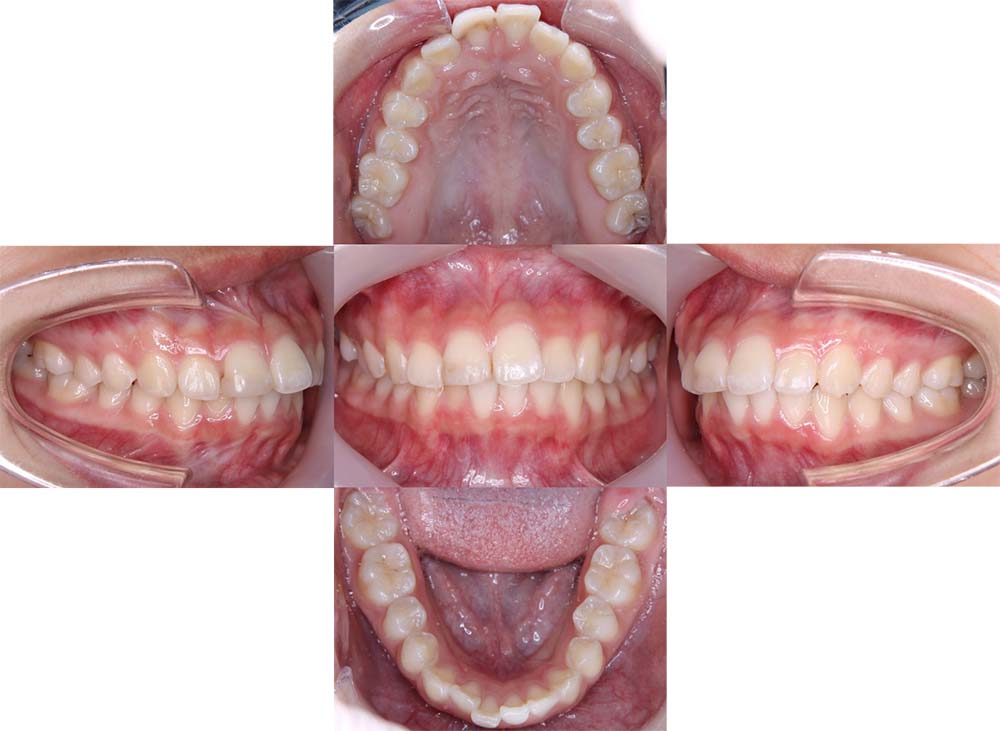
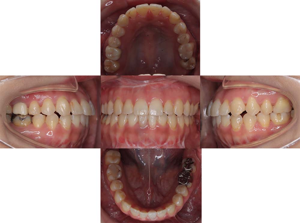
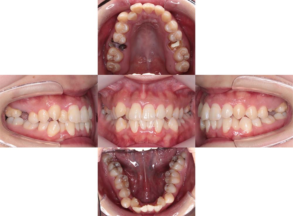
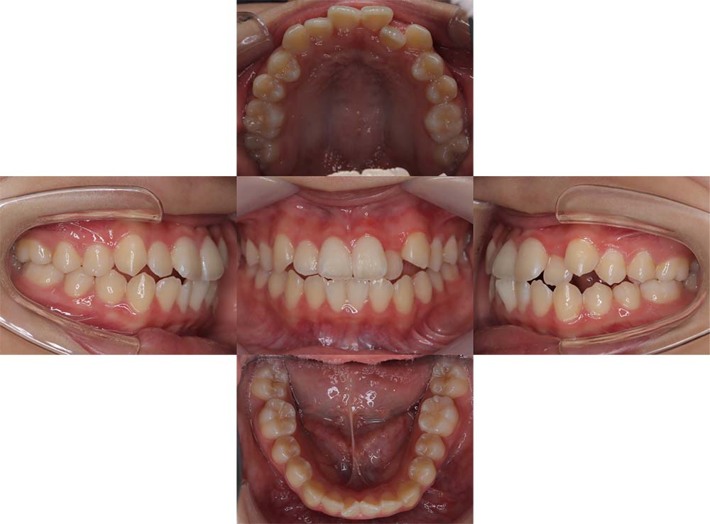
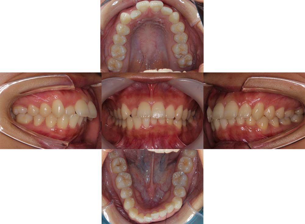
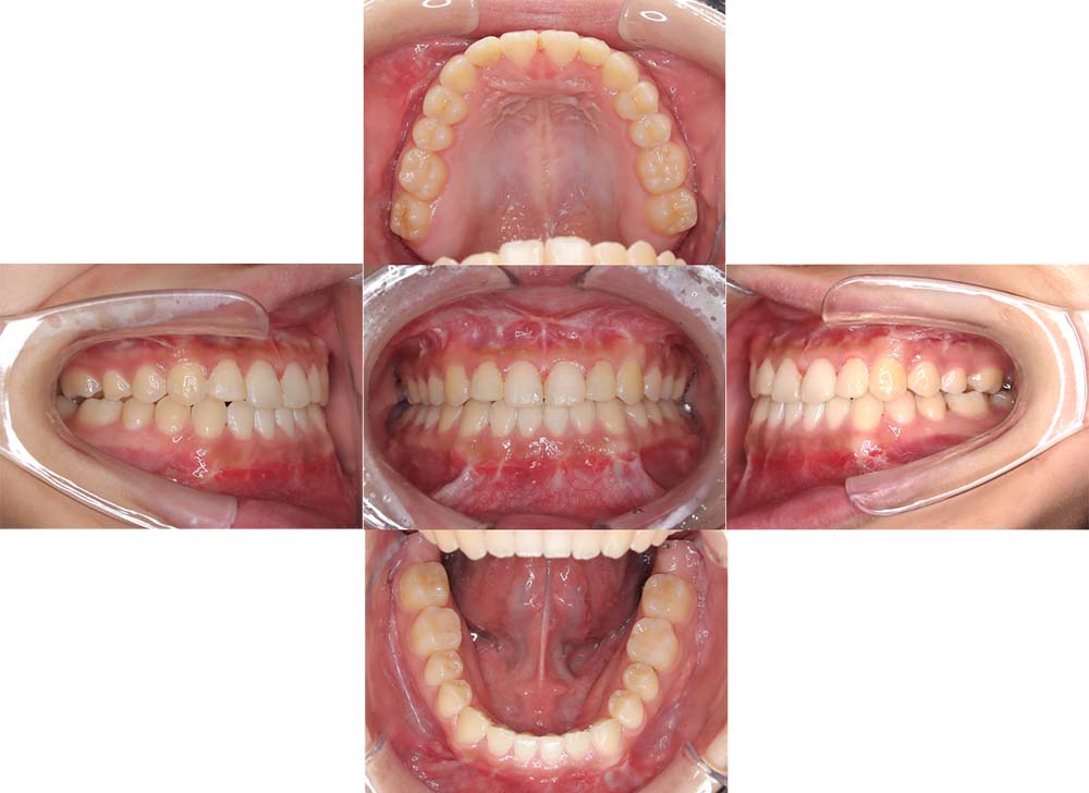
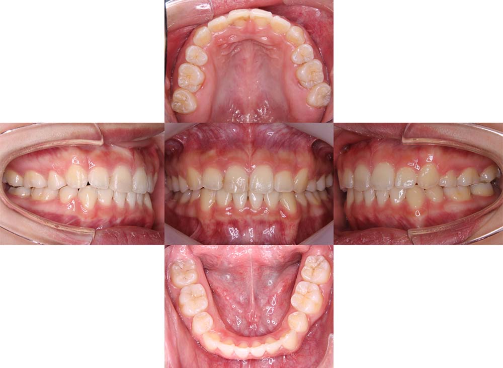
症例02
| 主訴 | 下あご顎が出ている。曲がっている。 |
|---|---|
| 診断名あるいは主な症状 | 反対咬合、非対称、空隙歯列、過蓋咬合 |
| 年齢/性別 | 19歳・女性 |
| 矯正ステージ | 大人の矯正治療 |
| 治療方法 | ワイヤー矯正、顎矯正手術の施行 |
| 抜歯部位/抜歯有無 | 非抜歯 |
|---|---|
| 治療内容 | 上下顎歯列を並べた後に顎矯正手術の施行。 |
| 費用 | 保険治療 |
| 治療期間 | 3年2ヶ月 |
| 主なリスク・副作用 | 痛み、歯根吸収、歯肉退縮、虫歯、後戻り |
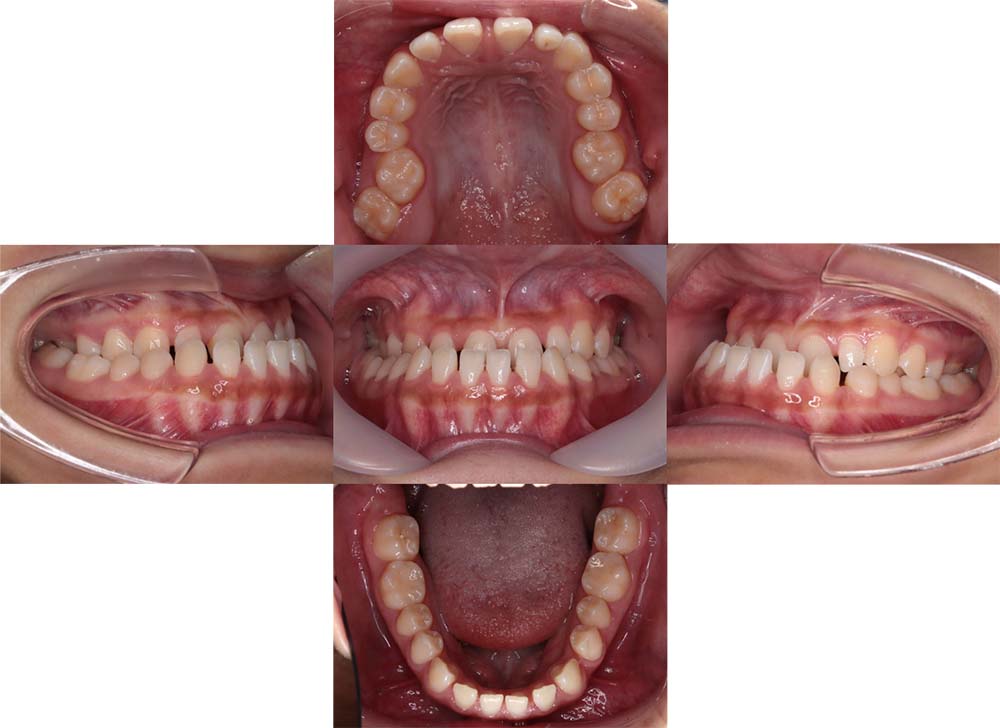
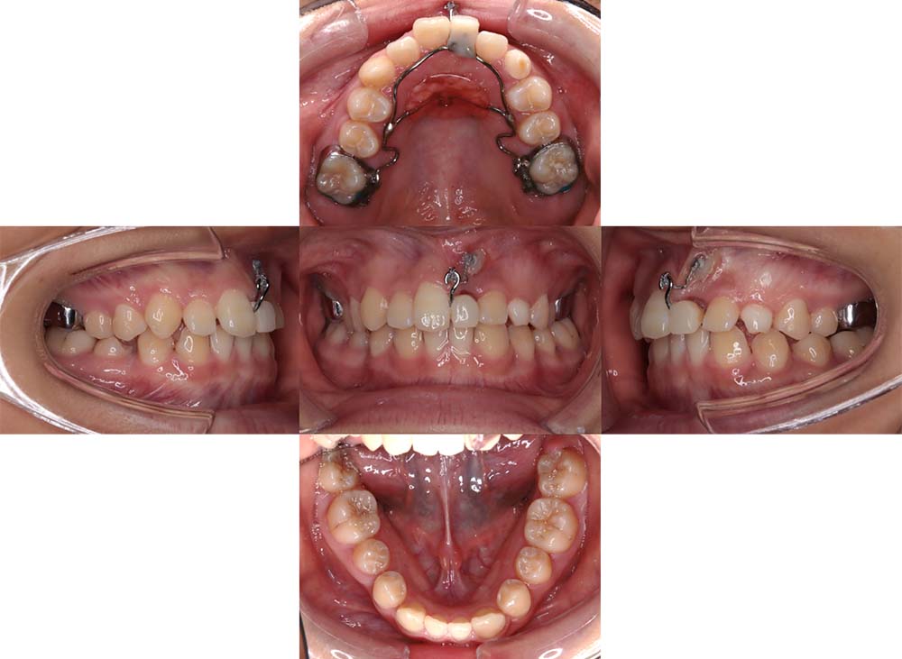
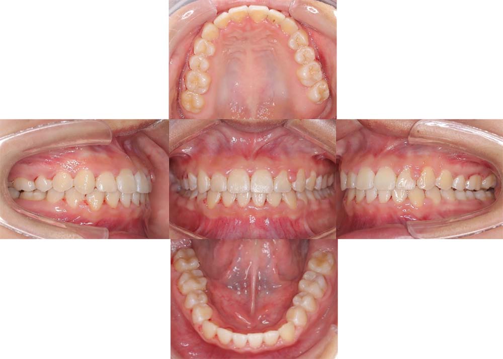
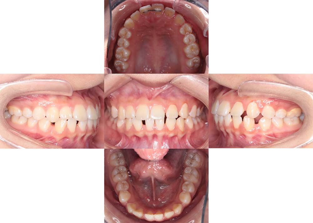
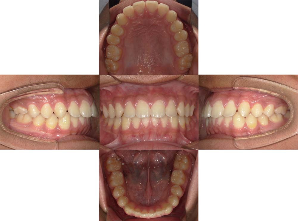
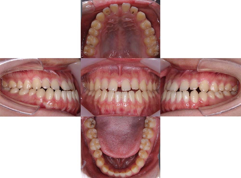
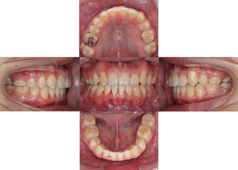
症例03
| 主訴 | 歯並びがガタガタしている。 |
|---|---|
| 診断名あるいは主な症状 | 過蓋咬合、叢生 |
| 年齢/性別 | 26歳・女性 |
| 矯正ステージ | 大人の矯正治療 |
| 治療方法 |
ワイヤー矯正 歯科矯正用アンカースクリュー(3本) |
| 抜歯部位/抜歯有無 | 抜歯 |
|---|---|
| 治療内容 | 上下顎の奥歯を後方に移動後、ガタガタの改善と上下顎前歯を後退させた。 |
| 費用 |
90万円程度(2025.10時点の料金となります。) ※矯正基本料金、アンカースクリュー、審美ブラケットを含む |
| 治療期間 | 2年8ヶ月 |
| 主なリスク・副作用 | 痛み、歯根吸収、歯肉退縮、虫歯、後戻り |
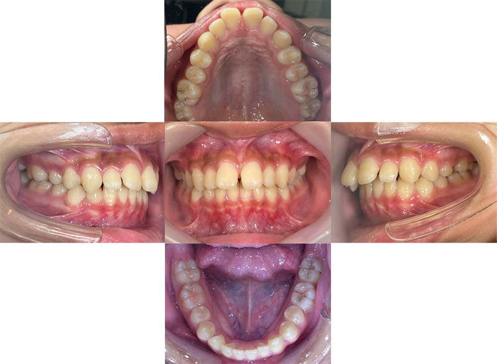
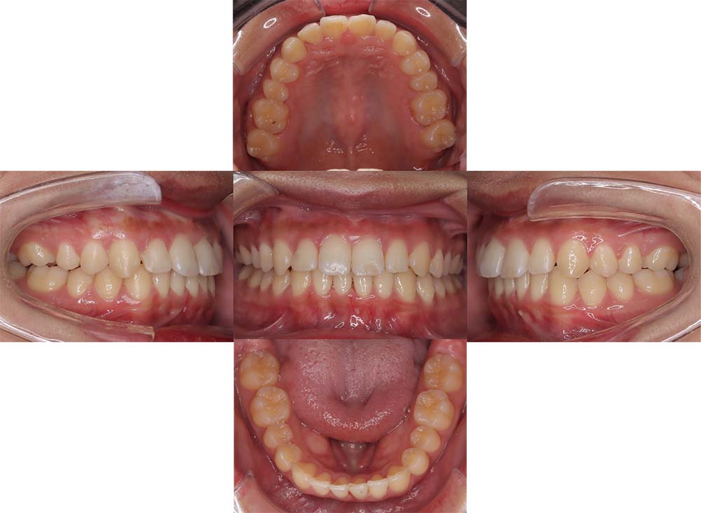
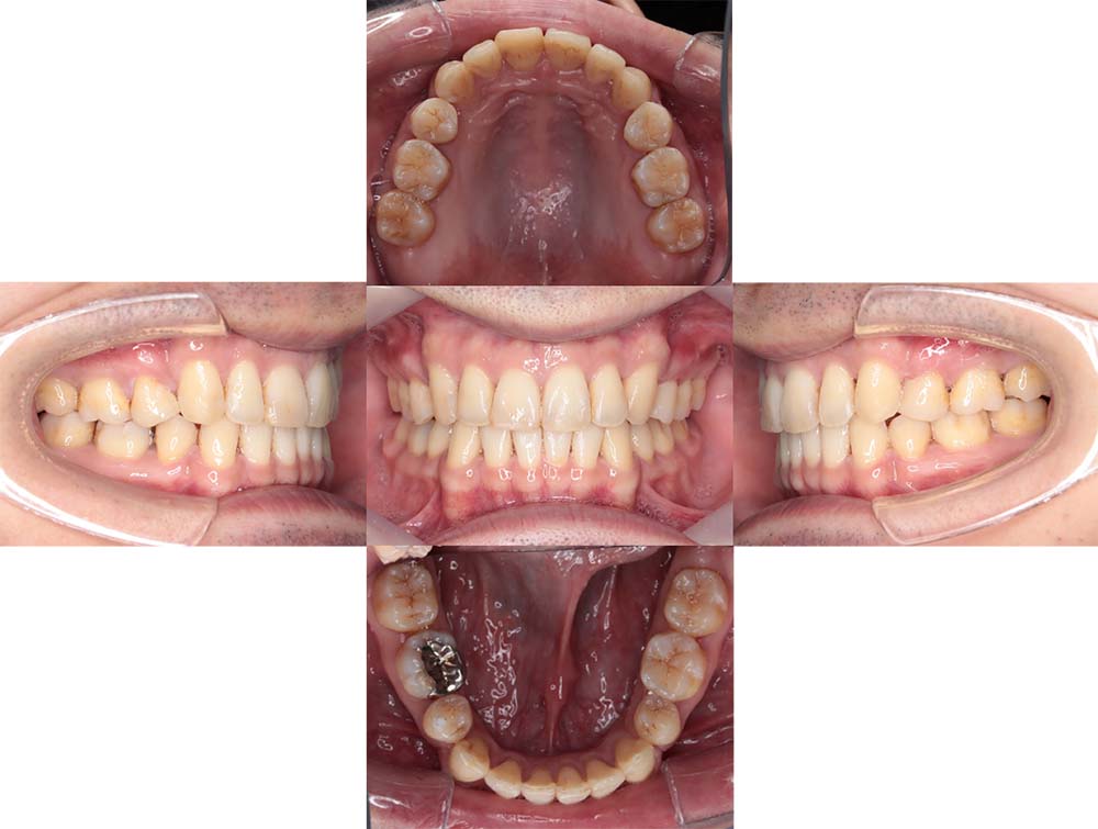
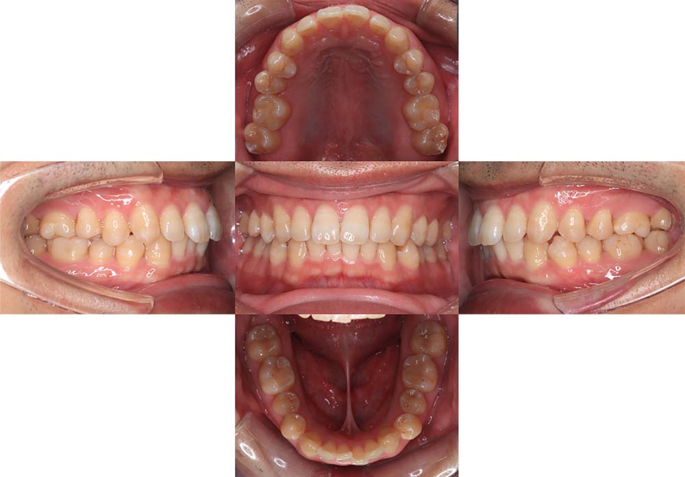
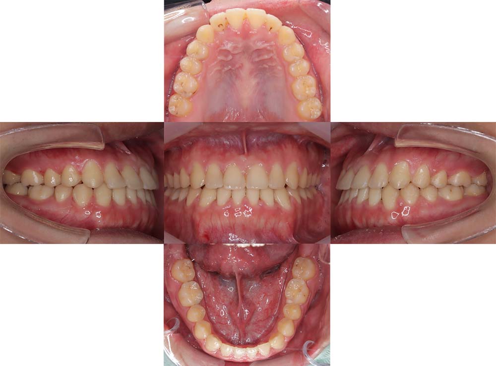
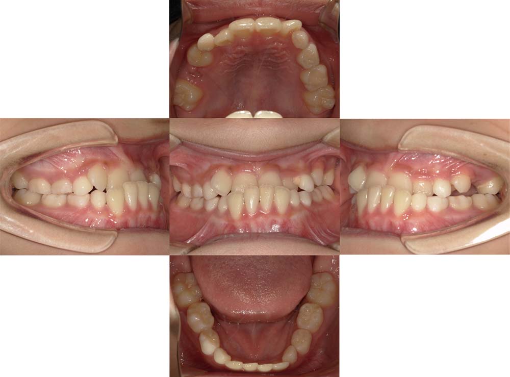
症例04
| 主訴 | 歯並びのガタガタと出っ歯が気になる。 |
|---|---|
| 診断名あるいは主な症状 | 上顎前突、叢生 |
| 年齢/性別 | 16歳・女性 |
| 矯正ステージ | 大人の矯正治療 |
| 治療方法 | ワイヤー矯正 |
| 抜歯部位/抜歯有無 | 抜歯 |
|---|---|
| 治療内容 | 抜歯したスペースを使用し、ガタガタの改善と上下顎前歯を後退させた。 |
| 費用 |
85万円程度(2025.10時点の料金となります。) ※矯正基本料金、審美ブラケットを含む |
| 治療期間 | 2年5ヶ月 |
| 主なリスク・副作用 | 痛み、歯根吸収、歯肉退縮、虫歯、後戻り |
症例05
| 主訴 | 歯並びがガタガタしている。 |
|---|---|
| 診断名あるいは主な症状 | 叢生 |
| 年齢/性別 | 22歳・男性 |
| 矯正ステージ | 大人の矯正治療 |
| 治療方法 | ワイヤー治療歯科矯正用アンカースクリュー |
| 抜歯部位/抜歯有無 | 抜歯 |
|---|---|
| 治療内容 | 上顎奥歯の後方移動と便宜抜歯にて、ガタガタの改善を行った。 |
| 費用 |
85万円程度(2025.10時点の料金です。) ※矯正基本料金、アンカースクリューを含む |
| 治療期間 | 2年2ヶ月 |
| 主なリスク・副作用 | 痛み、歯根吸収、歯肉退縮、虫歯、後戻り |
症例06
| 主訴 | 前歯が離れている。下の前歯がガタガタ |
|---|---|
| 診断名あるいは主な症状 | 空隙歯列 |
| 年齢/性別 | 15歳・男性 |
| 矯正ステージ | 中高生の矯正治療 |
| 治療方法 | 部分矯正 |
| 抜歯部位/抜歯有無 | 非抜歯 |
|---|---|
| 治療内容 | 前歯の隙間のみ治してほしいとの希望で部分矯正にて行った。 |
| 費用 |
40万円程度(2025.10時点の料金となります。) ※矯正基本料金、調整料を含む |
| 治療期間 | 6ヶ月 |
| 主なリスク・副作用 | 痛み、歯根吸収、歯肉退縮、虫歯、後戻り |
症例07
| 主訴 | 歯並びがガタガタしている。 |
|---|---|
| 診断名あるいは主な症状 | 下顎前突、叢生 |
| 年齢/性別 | 24歳・女性 |
| 矯正ステージ | 大人の矯正治療 |
| 治療方法 | ワイヤー矯正 |
| 抜歯部位/抜歯有無 | 上下顎両側第一小臼歯 |
|---|---|
| 治療内容 | 抜歯したスペースを使用し、ガタガタの改善と上下顎前歯を後退させた。 |
| 費用 |
85万円程度(2025.10時点の料金となります。) ※矯正基本料金、審美ブラケットを含む |
| 治療期間 | 1年10ヶ月 |
| 主なリスク・副作用 | 痛み、歯根吸収、歯肉退縮、虫歯、後戻り |
症例08
| 主訴 | 口元が出ている |
|---|---|
| 診断名あるいは主な症状 | 上下顎前突 |
| 年齢/性別 | 27歳・男性 |
| 矯正ステージ | 大人の矯正治療 |
| 治療方法 |
ワイヤー矯正 歯科矯正用アンカースクリュー |
| 抜歯部位/抜歯有無 | 上下顎両側第一小臼歯 |
|---|---|
| 治療内容 | 上下顎の抜歯スペースを使用し、ガタガタの改善と上下顎前歯を後退させた。 |
| 費用 |
90万円程度(2025.10時点の料金となります。) ※矯正基本料金、アンカースクリュー、審美ブラケットを含む |
| 治療期間 | 2年4ヶ月 |
| 主なリスク・副作用 | 痛み、歯根吸収、歯肉退縮、虫歯、後戻り |
症例09
| 主訴 | 歯並びがガタガタしている。 |
|---|---|
| 診断名あるいは主な症状 | 上下顎前突、叢生 |
| 年齢/性別 | 19歳・男性 |
| 矯正ステージ | 大人の矯正治療 |
| 治療方法 | ワイヤー矯正 歯科矯正用アンカースクリュー |
| 抜歯部位/抜歯有無 | 非抜歯 |
|---|---|
| 治療内容 | 上下顎の奥歯を後方に移動後、ガタガタの改善と上下顎前歯を後退させた。 |
| 費用 |
85万円程度(2025.10時点の料金となります。) ※矯正基本料金、アンカースクリューを含む |
| 治療期間 | 3年0ヶ月 |
| 主なリスク・副作用 | 痛み、歯根吸収、歯肉退縮、虫歯、後戻り |
症例10
| 主訴 | 前歯が反対に噛んでいる |
|---|---|
| 診断名あるいは主な症状 | 反対咬合 |
| 年齢/性別 | 9歳・男児 |
| 矯正ステージ | 子どもの矯正治療 |
| 治療方法 | リンガルアーチ |
| 抜歯部位/抜歯有無 | – |
|---|---|
| 治療内容 | リンガルアーチにて反対咬合を改善。その後は成長と生え変わりの定期的なチェックを行った。 |
| 費用 | 30万円程度(2025.5での料金となります。) |
| 治療期間 | 1年0ヶ月程度 |
| 主なリスク・副作用 | 痛み、歯根吸収、歯肉退縮、虫歯、後戻り |
症例11
| 主訴 | 歯並びがガタガタしている。 |
|---|---|
| 診断名あるいは主な症状 | 叢生、上下顎前突 |
| 年齢/性別 | 30歳・女性 |
| 矯正ステージ | 大人の矯正治療 |
| 治療方法 |
ワイヤー矯正 アンカースクリュー |
| 抜歯部位/抜歯有無 | 上下顎両側第一小臼歯 |
|---|---|
| 治療内容 | 抜歯のスペースを使用し、ガタガタの改善と上下顎前歯を後退させた。 |
| 費用 |
90万円程度(2025.10時点の料金となります。) ※矯正基本料金、審美ブラケット、アンカースクリューを含む |
| 治療期間 | 3年4ヶ月 |
| 主なリスク・副作用 | 痛み、歯根吸収、歯肉退縮、虫歯、後戻り |
症例12
| 主訴 | 歯並びがガタガタしている。 |
|---|---|
| 診断名あるいは主な症状 | 上下顎前突、叢生 |
| 年齢/性別 | 16歳・女性 |
| 矯正ステージ | 中高生の矯正治療 |
| 治療方法 | ワイヤー矯正 |
| 抜歯部位/抜歯有無 | 上下顎両側第一小臼歯 |
|---|---|
| 治療内容 | 上下顎の抜歯スペースを使用し、ガタガタの改善と上下顎前歯を後退させた。 |
| 費用 |
85万円程度(2025.10時点の料金となります。) ※矯正基本料金、審美ブラケットを含む |
| 治療期間 | 2年6ヶ月 |
| 主なリスク・副作用 | 痛み、歯根吸収、歯肉退縮、虫歯、後戻り |
症例13
| 主訴 | 前歯が反対に噛んでいる |
|---|---|
| 診断名あるいは主な症状 | 反対咬合、上顎左側第一大臼歯の半埋伏 |
| 年齢/性別 | 8歳・男児 |
| 矯正ステージ | 子どもの矯正治療 |
| 治療方法 | セクショナルアーチ |
| 抜歯部位/抜歯有無 | – |
|---|---|
| 治療内容 | 部分的なワイヤーにて反対咬合の改善と上顎左側第一大臼歯の萌出誘導。その後は成長と生え変わりの定期的なチェックを行った。 |
| 費用 | 30万円程度(2025.10での料金となります。) |
| 治療期間 | 2年0ヶ月 |
| 主なリスク・副作用 | 痛み、歯根吸収、歯肉退縮、虫歯、後戻り |
症例14
| 主訴 | 歯並びがガタガタしている。 |
|---|---|
| 診断名あるいは主な症状 | 過蓋咬合、叢生 |
| 年齢/性別 | 24歳・女性 |
| 矯正ステージ | 大人の矯正治療 |
| 治療方法 |
ワイヤー矯正 アンカースクリュー |
| 抜歯部位/抜歯有無 | 上下顎両側第一小臼歯 |
|---|---|
| 治療内容 | 上下顎の抜歯スペースを使用し、ガタガタの改善と上下顎前歯を後退させた。 |
| 費用 |
90万円程度(2025.10時点の料金となります。) ※矯正基本料金、審美ブラケット、アンカースクリューを含む |
| 治療期間 | 2年10ヶ月 |
| 主なリスク・副作用 | 痛み、歯根吸収、歯肉退縮、虫歯、後戻り |
症例15
| 主訴 | 歯並びがガタガタしている。 |
|---|---|
| 診断名あるいは主な症状 | 上顎前突、叢生 |
| 年齢/性別 | 24歳・女性 |
| 矯正ステージ | 大人の矯正治療 |
| 治療方法 |
ワイヤー矯正 歯科矯正用アンカースクリュー |
| 抜歯部位/抜歯有無 | 上顎両側第一小臼歯、下顎右側第一小臼歯左側第二小臼歯 |
|---|---|
| 治療内容 | 上下顎の抜歯スペースを使用して、ガタガタの改善と上下顎前歯を後退させた。 |
| 費用 |
90万円程度(2025.10時点の料金となります。) ※矯正基本料金、アンカースクリュー、審美ブラケットを含む |
| 治療期間 | 2年8ヶ月 |
| 主なリスク・副作用 | 痛み、歯根吸収、歯肉退縮、虫歯、後戻り |
症例16
| 主訴 | 空隙が気になる |
|---|---|
| 診断名あるいは主な症状 | 空隙歯列、上顎左側第二小臼歯の埋伏 |
| 年齢/性別 | 16歳・男性 |
| 矯正ステージ | 中高生の矯正治療 |
| 治療方法 | ワイヤー矯正 |
| 抜歯部位/抜歯有無 | 非抜歯(残存している上顎左側第二乳臼歯は抜歯) |
|---|---|
| 治療内容 | 上顎左側第二小臼歯の牽引後に全顎的に並べた。 |
| 費用 |
85万円程度(2025.10時点の料金となります。) ※矯正基本料金、審美ブラケットを含む |
| 治療期間 | 1年4ヶ月 |
| 主なリスク・副作用 | 痛み、歯根吸収、歯肉退縮、虫歯、後戻り |
症例17
| 主訴 | 前歯が出ている。 |
|---|---|
| 診断名あるいは主な症状 | 上顎前突、叢生、埋伏 |
| 年齢/性別 | 9歳・女児 |
| 矯正ステージ | 子どもの矯正治療+大人の矯正治療 |
| 治療方法 |
子どもの矯正:リンガルアーチ 大人の矯正:ワイヤー矯正 |
| 抜歯部位/抜歯有無 | 上下顎両側第一小臼歯 |
|---|---|
| 治療内容 | 子どもの矯正治療にて上顎左側犬歯、第一小臼歯の牽引。成長及び生え変わりを経過観察後、大人の矯正治療を行った。 |
| 費用 |
子どもの矯正治療:30万円程度 大人の矯正治療:55万程度 ※審美ブラケットを含みます。 (2025.10時点の料金となります。) |
| 治療期間 |
子どもの矯正:1年6ヶ月 大人の矯正:2年3ヶ月 |
| 主なリスク・副作用 | 痛み、歯根吸収、歯肉退縮、虫歯、後戻り |
症例18
| 主訴 | 口元が出ている |
|---|---|
| 診断名あるいは主な症状 | 上下顎前突 |
| 年齢/性別 | 16歳・女性 |
| 矯正ステージ | 中高生の矯正治療 |
| 治療方法 | ワイヤー矯正 |
| 抜歯部位/抜歯有無 | 上顎両側第一小臼歯、下顎右側第一小臼歯左側第二小臼歯 |
|---|---|
| 治療内容 | 抜歯のスペースを使用し、ガタガタの改善と上下顎前歯を後退させた。 |
| 費用 |
85万円程度(2025.10時点の料金となります。) ※矯正基本料金、審美ブラケットを含む |
| 治療期間 | 2年6か月 |
| 主なリスク・副作用 | 痛み、歯根吸収、歯肉退縮、虫歯、後戻り |
症例19
| 主訴 | 前歯が反対に噛んでいる |
|---|---|
| 診断名あるいは主な症状 | 反対咬合 |
| 年齢/性別 | 10歳・男児 |
| 矯正ステージ | 子どもの矯正治療 |
| 治療方法 | セクショナルアーチ |
| 抜歯部位/抜歯有無 | – |
|---|---|
| 治療内容 | 部分的なワイヤーにて反対咬合を改善。その後は成長と生え変わりの定期的なチェックを行った。 |
| 費用 | 30万円程度(2025.10時点の料金となります。) |
| 治療期間 | 4ヶ月 |
| 主なリスク・副作用 | 痛み、歯根吸収、歯肉退縮、虫歯、後戻り |
症例20
| 主訴 | 歯並びがガタガタしている。 |
|---|---|
| 診断名あるいは主な症状 | 上顎前突、叢生 |
| 年齢/性別 | 21歳・女性 |
| 矯正ステージ | 大人の矯正治療 |
| 治療方法 |
ワイヤー矯正 歯科矯正用アンカースクリュー |
| 抜歯部位/抜歯有無 | 上顎左側側切歯 |
|---|---|
| 治療内容 | 上顎の奥歯の後方移動と抜歯スペースにて、ガタガタの改善と上下顎前歯を後退させた。 |
| 費用 |
90万円程度(2025.10時点の料金となります。) ※矯正基本料金、アンカースクリュー、審美ブラケットを含む |
| 治療期間 | 1年0ヶ月 |
| 主なリスク・副作用 | 痛み、歯根吸収、歯肉退縮、虫歯、後戻り |
症例21
| 主訴 | 下の前歯がガタガタしている。 |
|---|---|
| 診断名あるいは主な症状 | 叢生、左下第二大臼歯の歯根吸収 |
| 年齢/性別 | 24歳・男性 |
| 矯正ステージ | 大人の矯正治療 |
| 治療方法 | ワイヤー矯正 |
| 抜歯部位/抜歯有無 | 下顎左側第二大臼歯 |
|---|---|
| 治療内容 | 下顎左側第二大臼歯の歯根吸収を認めるため抜歯し親知らずを並べた |
| 費用 |
85万円程度(2025.10時点の料金となります。) ※矯正基本料金、審美ブラケットを含む |
| 治療期間 | 3年5ヶ月 |
| 主なリスク・副作用 | 痛み、歯根吸収、歯肉退縮、虫歯、後戻り |
症例22
| 主訴 | 歯並びがガタガタしている。 |
|---|---|
| 診断名あるいは主な症状 | 上顎前突、叢生 |
| 年齢/性別 | 26歳・女性 |
| 矯正ステージ | 大人の矯正治療 |
| 治療方法 |
ワイヤー治療+マウスピース治療 歯科矯正用アンカースクリュー |
| 抜歯部位/抜歯有無 | 非抜歯 |
|---|---|
| 治療内容 | 上下顎の奥歯を後方に移動後、ガタガタの改善と上下顎前歯を後退させた。 |
| 費用 |
100万円程度(2025.10時点の料金です。) ※矯正基本料金、アンカースクリューを含む |
| 治療期間 | 2年5ヶ月 |
| 主なリスク・副作用 | 痛み、歯根吸収、歯肉退縮、虫歯、後戻り |
症例23
| 主訴 | 前歯が反対に噛んでいる |
|---|---|
| 診断名あるいは主な症状 | 反対咬合 |
| 年齢/性別 | 8歳・男児 |
| 矯正ステージ | 子どもの矯正治療 |
| 治療方法 | セクショナルアーチ |
| 抜歯部位/抜歯有無 | – |
|---|---|
| 治療内容 | 部分的なワイヤーにて反対咬合を改善。その後は成長と生え変わりの定期的なチェックを行った。 |
| 費用 | 30万円程度(2025.5での料金となります。) |
| 治療期間 | 6ヶ月 |
| 主なリスク・副作用 | 痛み、歯根吸収、歯肉退縮、虫歯、後戻り |
症例24
| 主訴 | 上顎両側犬歯が生えてこない |
|---|---|
| 診断名あるいは主な症状 | 上顎両側犬歯の埋伏 |
| 年齢/性別 | 10歳・女児 |
| 矯正ステージ | 子どもの矯正治療+部分矯正 |
| 治療方法 | リンガルアーチ、セクショナルアーチ |
| 抜歯部位/抜歯有無 | – |
|---|---|
| 治療内容 | 子どもの矯正治療で牽引後に部分矯正で上顎歯列のみを並べた。 |
| 費用 | 30万(子どもの矯正)+10万(部分矯正)円程度(2025.10時点の料金です。) |
| 治療期間 | 1年3ヶ月 |
| 主なリスク・副作用 | 痛み、歯根吸収、歯肉退縮、虫歯、後戻り |
症例25
| 主訴 | 前歯が反対に噛んでいる |
|---|---|
| 診断名あるいは主な症状 | 反対咬合 |
| 年齢/性別 | 9歳・女児 |
| 矯正ステージ | 子どもの矯正治療 |
| 治療方法 | セクショナルアーチ |
| 抜歯部位/抜歯有無 | – |
|---|---|
| 治療内容 | セクショナルアーチにて反対咬合を改善。その後は成長と生え変わりの定期的なチェックを行った。 |
| 費用 | 30万円程度(2025.10時点の料金です。) |
| 治療期間 | 1年0ヶ月 |
| 主なリスク・副作用 | 痛み、歯根吸収、歯肉退縮、虫歯、後戻り |
症例26
| 主訴 | 歯並びがガタガタしている。 |
|---|---|
| 診断名あるいは主な症状 | 叢生、上下顎前突、側方偏位 |
| 年齢/性別 | 25歳・女性 |
| 矯正ステージ | 大人の矯正治療 |
| 治療方法 |
ワイヤー矯正 アンカースクリュー |
| 抜歯部位/抜歯有無 | 上下顎両側第一小臼歯 |
|---|---|
| 治療内容 | 上下顎の抜歯によるスペースを使用し、ガタガタの改善と上下顎前歯を後退させた。 |
| 費用 |
90万円程度(2025.10時点の料金となります。) ※矯正基本料金、アンカースクリュー、審美ブラケットを含む |
| 治療期間 | 2年11ヶ月 |
| 主なリスク・副作用 | 痛み、歯根吸収、歯肉退縮、虫歯、後戻り |
症例27
| 主訴 | 歯並びがガタガタしている。 |
|---|---|
| 診断名あるいは主な症状 | 叢生 |
| 年齢/性別 | 24歳・女性 |
| 矯正ステージ | 大人の矯正治療 |
| 治療方法 | ワイヤー矯正 |
| 抜歯部位/抜歯有無 | 上顎両側第一大臼歯、下顎右側第一小臼歯 |
|---|---|
| 治療内容 | 上顎は保存困難な第一大臼歯を抜歯して、代替歯として親知らずを並べている。矯正治療を行わなければ、上顎両側第一大臼歯はインプラントなどの補綴処置が必要であった。 |
| 費用 |
85万円程度(2025.10時点の料金となります。) ※矯正基本料金、審美ブラケットを含む |
| 治療期間 | 3年1ヶ月 |
| 主なリスク・副作用 | 痛み、歯根吸収、歯肉退縮、虫歯、後戻り |
症例28
| 主訴 | 空隙が気になる。 |
|---|---|
| 診断名あるいは主な症状 | 空隙歯列 |
| 年齢/性別 | 23歳・女性 |
| 矯正ステージ | 大人の矯正治療 |
| 治療方法 |
ワイヤー矯正 歯科矯正用アンカースクリュー |
| 抜歯部位/抜歯有無 | 非抜歯 |
|---|---|
| 治療内容 | 空隙の閉鎖 |
| 費用 |
90万円程度(2025.5での料金となります。) ※矯正基本料金、アンカースクリュー、審美ブラケット、調整料を含む |
| 治療期間 | 1年3ヶ月 |
| 主なリスク・副作用 | 痛み、歯根吸収、歯肉退縮、虫歯、後戻り |
症例29
| 主訴 | 歯並びのガタガタ、口元が出ている |
|---|---|
| 診断名あるいは主な症状 | 上顎前突、叢生 |
| 年齢/性別 | 21歳・女性 |
| 矯正ステージ | 大人の矯正治療 |
| 治療方法 |
ワイヤー矯正 歯科矯正用アンカースクリュー |
| 抜歯部位/抜歯有無 | 上下顎両側第一小臼歯 |
|---|---|
| 治療内容 | 抜歯を行いスペースを作り、ガタガタと上下顎前歯を後退した。 |
| 費用 |
90万円程度(2025.10時点の料金となります。) ※矯正基本料金、アンカースクリュー、審美ブラケットを含む |
| 治療期間 | 2年8ヶ月 |
| 主なリスク・副作用 | 痛み、歯根吸収、歯肉退縮、虫歯、後戻り |
症例30
| 主訴 | 前歯が離れている |
|---|---|
| 診断名あるいは主な症状 | 空隙歯列 |
| 年齢/性別 | 16歳・男性 |
| 矯正ステージ | 中高生の矯正治療 |
| 治療方法 | 部分矯正 |
| 抜歯部位/抜歯有無 | 非抜歯 |
|---|---|
| 治療内容 | 前歯の隙間のみ治してほしいとの希望で部分矯正にて行った。 |
| 費用 |
35万円程度(2025.10時点の料金となります。) ※矯正基本料金、調整料を含む |
| 治療期間 | 6ヶ月 |
| 主なリスク・副作用 | 痛み、歯根吸収、歯肉退縮、虫歯、後戻り |
症例31
| 主訴 | 上の歯と下の歯が噛み合わない。 |
|---|---|
| 診断名あるいは主な症状 | 開咬、側方偏位 |
| 年齢/性別 | 21歳・男性 |
| 矯正ステージ | 大人の矯正治療 |
| 治療方法 |
ワイヤー矯正、アンカースクリュー 顎矯正手術の施行 |
| 抜歯部位/抜歯有無 | 上顎左側第二小臼歯、下顎右側第一小臼歯左側第二小臼歯 |
|---|---|
| 治療内容 | ガタガタの改善後に顎矯正手術を行い、かみ合わせの改善 |
| 費用 | 保険治療 |
| 治療期間 | 3年4ヶ月 |
| 主なリスク・副作用 | 痛み、歯根吸収、歯肉退縮、虫歯、後戻り |
症例32
| 主訴 | 空隙が気になる。 |
|---|---|
| 診断名あるいは主な症状 | 空隙歯列 |
| 年齢/性別 | 19歳・女性 |
| 矯正ステージ | 大人の矯正治療 |
| 治療方法 | マルチブラケット装置 歯科矯正用アンカースクリュー |
| 抜歯部位/抜歯有無 | 非抜歯 |
|---|---|
| 治療内容 | 空隙の閉鎖 |
| 費用 |
85万円程度(2025.10時点の料金となります。) ※矯正基本料金、アンカースクリュー1本、審美ブラケット、を含む |
| 治療期間 | 1年9ヶ月 |
| 主なリスク・副作用 | 痛み、歯根吸収、歯肉退縮、虫歯、後戻り |
症例33
| 主訴 | 犬歯が出てこない |
|---|---|
| 診断名あるいは主な症状 | 上顎左側中切歯・側切歯の歯根吸収、上顎左側犬歯の埋伏 |
| 年齢/性別 | 11歳・女児 |
| 矯正ステージ | 子どもの矯正治療 |
| 治療方法 | 牽引装置、セクショナルアーチ |
| 抜歯部位/抜歯有無 | 上顎左側中切歯 |
|---|---|
| 治療内容 | 上顎左側中切歯は予後不良のため抜歯し上顎左側犬歯を牽引し、代替歯として排列 |
| 費用 | 30万円程度(2025.10時点の料金となります。) |
| 治療期間 | 1年6ヶ月 |
| 主なリスク・副作用 | 痛み、歯根吸収、歯肉退縮、虫歯、後戻り |
症例34
| 主訴 | 前歯が閉じない。あごが低い |
|---|---|
| 診断名あるいは主な症状 | 開咬 |
| 年齢/性別 | 27歳・女性 |
| 矯正ステージ | 大人の矯正治療 |
| 治療方法 | ワイヤー矯正、アンカースクリュー、顎矯正手術の施行 |
| 抜歯部位/抜歯有無 | 非抜歯 |
|---|---|
| 治療内容 | 上下顎歯列を並べた後に顎矯正手術の施行。 |
| 費用 | 保険治療 |
| 治療期間 | 3年8ヶ月 |
| 主なリスク・副作用 | 痛み、歯根吸収、歯肉退縮、虫歯、後戻り |
症例35
| 主訴 | 口元が出ている |
|---|---|
| 診断名あるいは主な症状 | 上顎前突、叢生 |
| 年齢/性別 | 16歳・女性 |
| 矯正ステージ | 中高生の矯正治療 |
| 治療方法 | ワイヤー矯正 アンカースクリュー |
| 抜歯部位/抜歯有無 | 上顎両側第一小臼歯、下顎左側第一小臼歯 |
|---|---|
| 治療内容 | 抜歯を行い上下顎前歯を後退。 |
| 費用 |
90万円程度(2025.10時点の料金です。) ※矯正基本料金、審美ブラケット、アンカースクリューを含む |
| 治療期間 | 2年8ヶ月 |
| 主なリスク・副作用 | 痛み、歯根吸収、歯肉退縮、虫歯、後戻り |
症例36
| 主訴 | あごが出ている。 |
|---|---|
| 診断名あるいは主な症状 | 下顎前突、空隙歯列 |
| 年齢/性別 | 21歳・男性 |
| 矯正ステージ | 大人の矯正治療 |
| 治療方法 | ワイヤー矯正 顎矯正手術の施行 |
| 抜歯部位/抜歯有無 | 非抜歯 |
|---|---|
| 治療内容 | スペース閉鎖の後に顎矯正手術の施行 |
| 費用 | 保険治療 |
| 治療期間 | 3年3ヶ月 |
| 主なリスク・副作用 | 痛み、歯根吸収、歯肉退縮、虫歯、後戻り |
症例37
| 主訴 | 歯列の空隙が気になる |
|---|---|
| 診断名あるいは主な症状 | 下顎前突、空隙歯列、開咬 |
| 年齢/性別 | 27歳・女性 |
| 矯正ステージ | 大人の矯正治療 |
| 治療方法 | ワイヤー矯正 |
| 抜歯部位/抜歯有無 | 非抜歯 |
|---|---|
| 治療内容 | スペース閉鎖の施行 |
| 費用 |
85万円程度(2025.10時点の料金です。) ※矯正基本料金、審美ブラケットを含む |
| 治療期間 | 1年4ヶ月 |
| 主なリスク・副作用 | 痛み、歯根吸収、歯肉退縮、虫歯、後戻り |