【保険適用の矯正治療!】今、矯正治療を考えている方は必見です。保険で矯正治療を行った成人男性
矯正治療が保険治療で行う事ができる方がいること知っていますか?ある条件を満たしているときょうせい治療が保険治療で行う事ができます!その中の一つに顎変形症があります!顎変形症の治療は矯正治療に加えてあごの大きさを整える手術が必要となります。本日は顎変形症の患者様に外科的矯正治療を行った治療についてご紹介させていただきたいと思います。外科的矯正治療は確かに全身麻酔を伴う手術を行う必要があり、とても大変な治療となりますが、歯だけでなく骨も移動させるため、著しい顔貌の変化が生じます。とても魅力的な治療法ですので、是非最後まで読んでください。
症例の概要
主訴:上の歯と下の歯が噛み合わない。下あごの先が後退している。


治療Plan
抜歯部位:上顎左側第2小臼歯、下顎左側第1小臼歯、右側第2小臼歯
アンカースクリュー:上あごに2本の植立
手術:下あご(SSRO)
治療経過
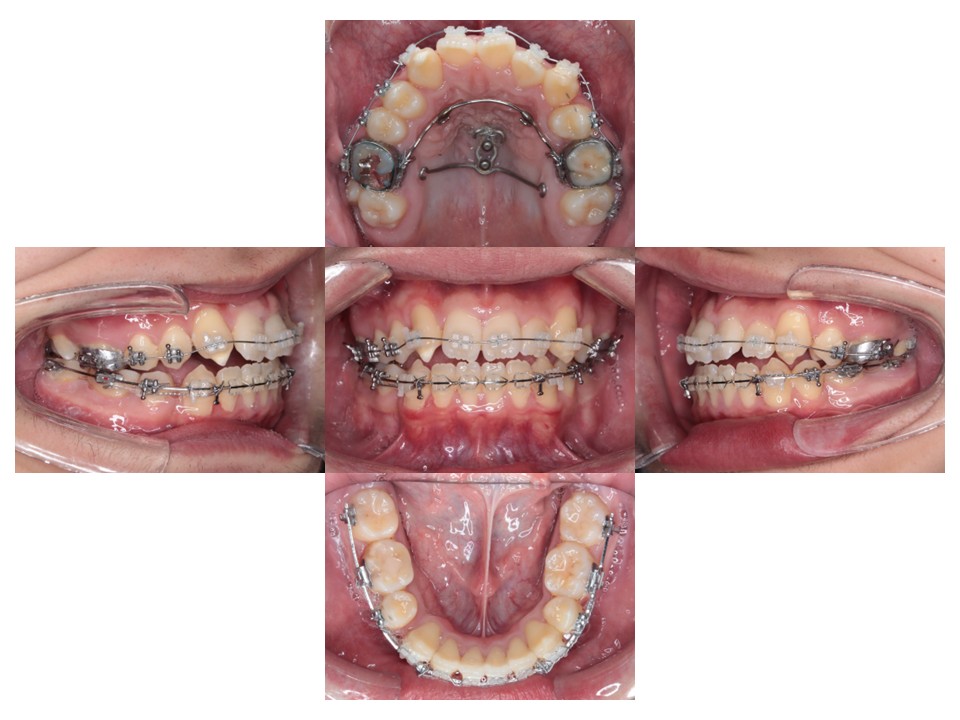
上あごの歯列の横幅を広げています

上あごにネジを打って全体的に歯を並べています

手術直前

装置撤去時(治療終了)


まとめ
本日は、外科的矯正治療を選択した患者様についてご紹介させていただきました。顎矯正手術は矯正治療単独の治療に比べて大変ではありますが、歯並びだけではなく、顔貌の著しい変化を期待できます。矯正治療は自分がどのような事を期待して治療を行うかがとても重要なので担当医としっかり話し合って治療方針を決めるのが大切です!なにか歯並びのことで心配なことやお悩み、何でもよいので相談したいことがあれば、矯正歯科Y’s溝の口の初診カウンセリングをぜひご利用してみてください。初診相談は無料となっておりますので、スタッフ一同心よりお待ちしております。
症例の詳細

監修歯科医師
山口浩司
資格
- 日本矯正歯科学会 認定医
- 日本顎変形症学会 認定医
略歴
- 鶴見大学歯学部 卒業
- 明海大学形態機能成育学講座歯科矯正学分野 入局
- 明海大学形態機能成育学講座歯科矯正学分野 病院助教