中学生・高校生が矯正治療を行うメリット
皆さんこんにちは!矯正歯科Y’s溝の口院長の山口です。突然ですが、「歯並びが気になるけど、いつから始めればいいのかな?」と心配している中高生や、保護者の方いらっしゃると思います。でも実は、この時期こそ矯正治療を始めるのにぴったりな時期なんです!今のうちに歯並びを整えておくことで、これからの毎日がぐっと過ごしやすくなりますよ。本日は中高生が矯正治療をするメリットについてお伝えしていきたいと思います。是非最後まで読んでみてください。
中高生の矯正治療とは?
中高生の矯正治療は、親知らずを除き最後に生えてくる第二大臼歯(12歳臼歯)の萌出後に行う矯正治療となります。または、何らかの原因で歯の萌出が難しくなっている場合に歯の萌出のフォローアップをしていく矯正治療です。大人の矯正治療と大きな相違点としては骨格的な成長が残っていることから、顎骨の成長を加味しつつ、矯正治療を行わなければなりません。
中高生で矯正治療を始めても遅くない?
結論としては、矯正治療は何歳からでもはじめられます。近年では歯科矯正は小さいうちに行うほうがいいと聞き、今からでは遅いのでは、と心配されている方もいらっしゃいます。決して全員が早く行う方がいいわけではありません。個人によって始めた方がいい時期は違います。また、中高生で始める矯正治療にはメリットも多くあります
中高生に矯正治療を行う必要性
中高生の時期に行う矯正治療は口元のコンプレックスを早期に改善することにより思春期という大切な時期を笑顔で生活でき、心理的面において大きなメリットであります。また、早期にガタガタの歯並びや悪い咬み合わせを改善することにより、口腔内の清掃状態や咬む際に加わる歯への力を適切に分散することが駅、歯の寿命を長くもたせることができます。
中高生に行う矯正治療のメリット
中高生の矯正治療にメリットが多くあります。
(1)思春期のコンプレックス解消につながる
中高校生のうちに矯正治療を始めることで、思春期特有のコンプレックスを解消できます。この時期はさまざまな悩みが生まれやすく、歯並びもその一つです。歯並びが悪いと人前で自信を持てず、咬み合わせの問題も生じやすくなります。コンプレックスを早めに解消することで、勉強や部活、日常生活をより明るく過ごせるようになるでしょう。
(2)通院がしやすい
成人の方と比較し、中高生は仕事等によりライフスタイルが左右されないことから通院がしやすい傾向にあります。また、保護者様も毎回一緒に来院する必要がなく、幼少期に行うこどもの矯正治療よりも保護者の負担も少なくなります。
(3)治療の期間が大人より短くなる傾向にある
高校生のうちに矯正治療を始めると、大人よりも治療期間を短縮できます。30歳以降の成人は、顎骨を含む顔の骨格がほぼ完成し、新陳代謝も低下するため、歯の移動には長い期間が必要です。一方で、中高校生の場合は、新陳代謝が活発で、歯の移動が早い傾向があります。
(4)早期の歯並び及びかみ合わせの改善により歯の寿命の向上
早期に歯並びを治すことによりむし歯や歯周病のリスクを軽減するだけでなく、経年的に蓄積される歯へのダメージも防ぎます
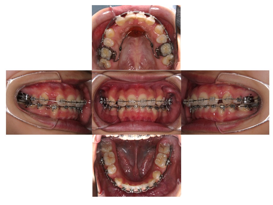
実際の患者様
主訴:出っ歯を治したい
治療計画:上顎両側第一小臼歯、下顎右側第一小臼歯、下顎左側第二小臼歯を抜歯し、ワイヤーによる矯正治療を計画
初診時

抜歯を行い、全体的に並べています

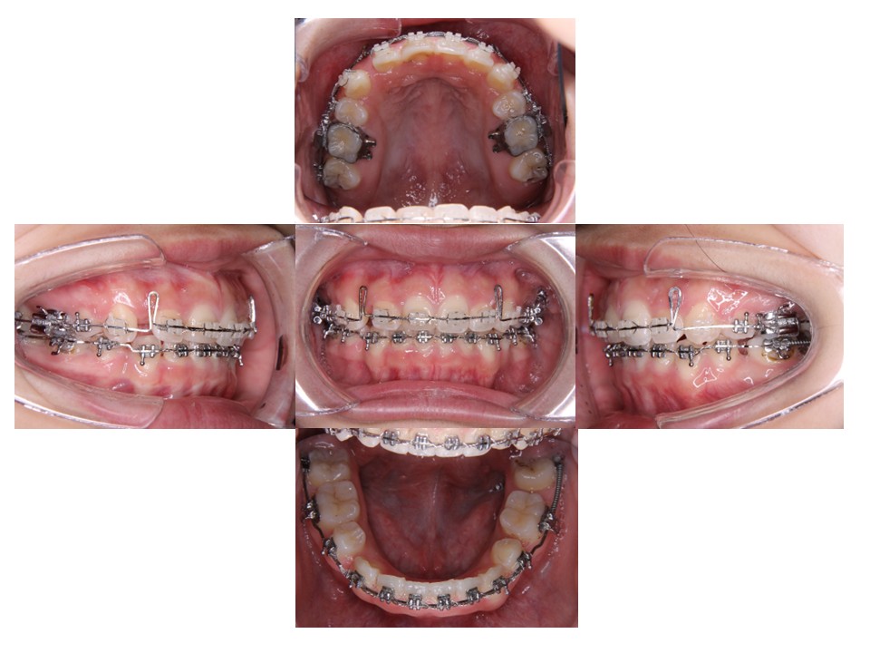
最後の微調整を行っています。

治療終了時

まとめ
中高生の時期に行う矯正治療には多くのメリットがあります。しかし、矯正治療を始める上で、お子さまの進学やご家族の転勤にともなうお引越しなどライフステージやライフスタイルの要因なども治療開始時期に考慮する必要もあるかと思います。矯正歯科Y’s溝の口では、様々な観点からアドバイスをさせていただきますのでお子さまの歯並びが気になる方は一度、お気軽にご相談ください。
本日の症例の詳細

監修歯科医師
山口浩司
資格
- 日本矯正歯科学会 認定医
- 日本顎変形症学会 認定医
略歴
- 鶴見大学歯学部 卒業
- 明海大学形態機能成育学講座歯科矯正学分野 入局
- 明海大学形態機能成育学講座歯科矯正学分野 病院助教