2年6か月で理想の口元へ!中高生の口ゴボ治療!

口ゴボが気になる!高校生のうちを治したい!何とかならないかな?実際の治療症例を見たいよ!なんて思ったりしたことありませんか?本日は口ゴボを主訴にいらした高校生の患者さまについてご紹介します。実際の患者様を診ることによって自分が治療した時のイメージもわきやすいと思いますので、是非最後までみてみてください。
症例の概要
主訴:口ゴボが気になる。
既往歴:幼い頃より気になっていたが、以前にも増して気になるようになったため受診。
診断名:上下顎前突、叢生、

治療Plan
抜歯部位:上顎両側第一小臼歯、下顎右側第一小臼歯、左側第二小臼歯の計4本の便宜抜歯。
矯正方法:ワイヤー矯正

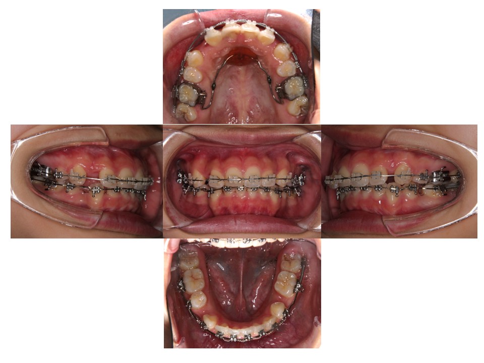
治療経過
上あごと下あごの歯を並べています。

上顎の前歯を後方移動しています

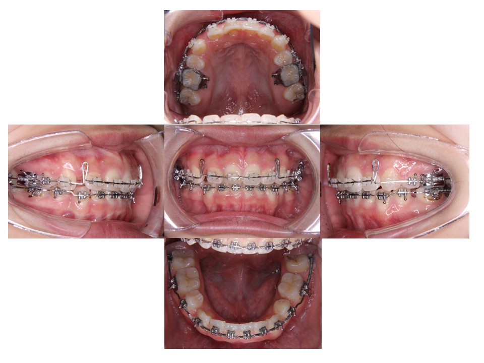
治療結果
上下顎前歯が後退した。
治療期間:2年6ヶ月

まとめ
本日は、口ゴボの改善を求めていらっしゃった患者様の治療前後についてご紹介させていただきました。実際の患者様の治療前後の写真を見ることにより、自分がもし治療をおこなった時のことをイメージ湧きやすくなったのではないでしょうか?矯正歯科Y’s溝の口の初診相談ではお口の中のお悩みや気になっている事を聞いた上で、歯並びにおいて同じような悩みを抱えて治療を行った患者様の治療サンプルを見ていただいております。更にご希望される患者様には自身のお口の光学印象を取らせていただき、ご自身の治療シュミュレーションを見ていただくことも可能です。是非、歯並びの事で聞きたいことがある方はいらしてください。スタッフ一度心よりお待ちしております。
本日紹介した症例の詳細

監修歯科医師
山口浩司
資格
- 日本矯正歯科学会 認定医
- 日本顎変形症学会 認定医
略歴
- 鶴見大学歯学部 卒業
- 明海大学形態機能成育学講座歯科矯正学分野 入局
- 明海大学形態機能成育学講座歯科矯正学分野 病院助教