【実際の治療例】前歯のガタガタを気にする成人女性~矯正治療で手に入れたきれいな歯並び~
前歯のガタガタをどうしても治したいと思っているけど、本当にきれいになるのか心配で矯正治療をなかなか開始できない人もいると思います。本日はそんな人たちのため、実際の治療症例を見て頂き、矯正治療の魅力をお伝え出来たらいいなと思っています!したがって今回は、下の前歯のガタガタが気になるになるという主訴で来られた方の治療前後の写真をお見せしたいと思います。実際の患者様を診ることによって自分に照らし合わせられる所もあると思いますので、是非最後まで見てください。
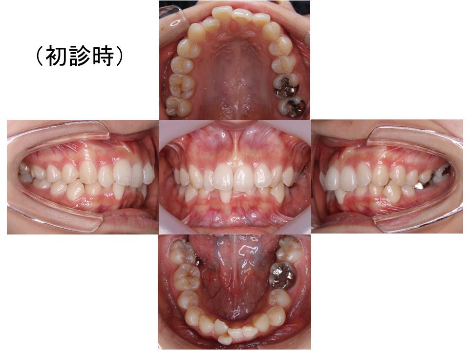
症例の概要
主訴:下の歯がガタガタなのが気になる
診断名:叢生、過蓋咬合、上顎前突

治療Plan
抜歯部位:上下顎両側第一小臼歯の計4本の便宜抜歯。
矯正方法:ワイヤー矯正、上顎にアンカースクリューの植立(2本)

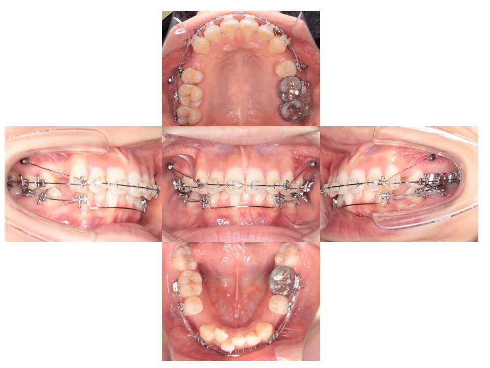
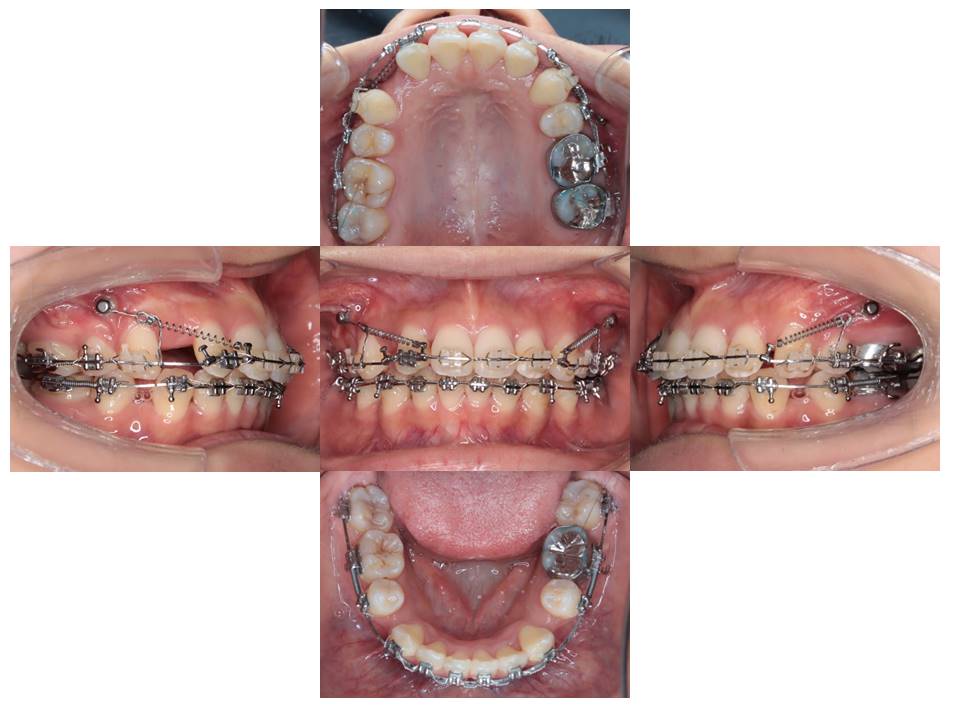
治療経過
上あごと下あごの歯を並べています。

アンカースクリューを使用して上顎の前歯を後方移動しています

治療結果
下の前歯のガタガタは改善され、口元が後退した。
治療期間:2年3ヶ月

まとめ
本日は、下の前歯のガタガタがの改善を求めていらっしゃった患者様の治療前後についてご紹介させていただきました。実際の患者様の治療前後の写真を見ることにより、自分がもし治療をおこなった時のことをイメージ湧きやすくなったのではないでしょうか?矯正歯科Y’s溝の口の初診相談ではお口の中のお悩みや気になっている事を聞いた上で、歯並びにおいて同じような悩みを抱えて治療を行った患者様の治療サンプルを見ていただいております。更にご希望される患者様には自身のお口の光学印象を取らせていただき、ご自身の治療シュミュレーションを見ていただくことも可能です。是非、歯並びの事で聞きたいことがある方はいらしてください。スタッフ一度心よりお待ちしております。
監修歯科医師
山口浩司
資格
- 日本矯正歯科学会 認定医
- 日本顎変形症学会 認定医
略歴
- 鶴見大学歯学部 卒業
- 明海大学形態機能成育学講座歯科矯正学分野 入局
- 明海大学形態機能成育学講座歯科矯正学分野 病院助教