【実際の治療例】出っ歯が気になる成人女性~矯正治療で口元美人へ~
出っ歯を治したい!結局矯正治療前後でどーなるの?実際の治療症例を見たいよ!なんて思ったりしたことありませんか?本日は口元が出ている。出っ歯がきになるという主訴で来られた方の治療前後の写真をお見せしたいと思います。実際の患者様を診ることによって自分に照らし合わせらられる所もあると思いますので、是非最後まで見てください。
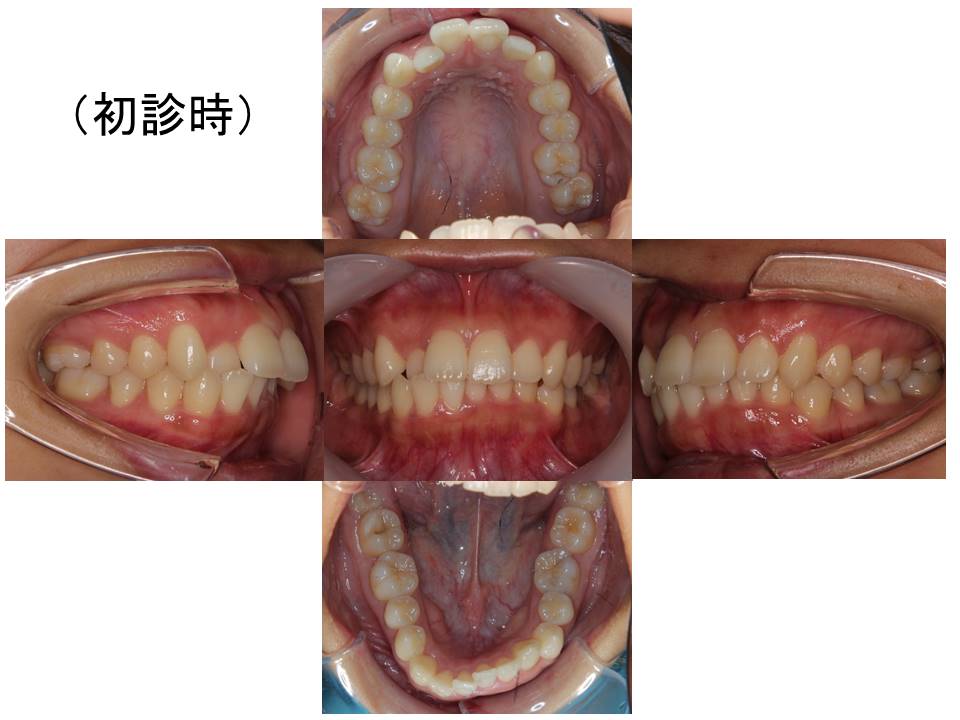
症例の概要
主訴:口元が出ていて下の歯がガタガタなのが気になる
既往歴:幼い頃より気になっていたが、以前にも増して気になるようになったため受診。
診断名:上顎前突、叢生

治療Plan
抜歯部位:上下顎両側第一小臼歯の計4本の便宜抜歯。上下左右親知らずの抜歯。
矯正方法:ワイヤー矯正、上顎にアンカースクリューの植立(2本)

治療経過
上あごと下あごの歯列を並べています。

上の前歯を後方移動しています。

治療結果
下の前歯のガタガタは改善され、口元が後退。
治療期間:2年3ヶ月

まとめ
本日は、出っ歯の改善を求めていらっしゃった患者様の治療前後についてご紹介させていただきました。実際の患者様の治療前後の写真を見ることにより、自分がもし治療をおこなった時のことをイメージ湧きやすくなったのではないでしょうか?矯正歯科Y’s溝の口の初診相談ではお口の中のお悩みや気になっている事を聞いた上で、歯並びにおいて同じような悩みを抱えて治療を行った患者様の治療サンプルを見ていただいております。更にご希望される患者様には自身のお口の光学印象を取らせていただき、ご自身の治療シュミュレーションを見ていただくことも可能です。是非、歯並びの事で聞きたいことがある方はいらしてください。スタッフ一度心よりお待ちしております。
監修歯科医師
山口浩司
資格
- 日本矯正歯科学会 認定医
- 日本顎変形症学会 認定医
略歴
- 鶴見大学歯学部 卒業
- 明海大学形態機能成育学講座歯科矯正学分野 入局
- 明海大学形態機能成育学講座歯科矯正学分野 病院助教