矯正治療を行った方がよい咬み合わせ ~不正咬合の種類~
皆さんこんにちは!矯正歯科Y’s溝の口院長の山口です。突然ですが、『私って矯正治療した方がよいのかな?』や『私の咬み合わせってどうなのかな?』と思ったことありませんか?本日は不正咬合(悪い嚙みあわせの種類)について説明させていただきたいと思います。少しでも今日の内容をご覧になっていただき、ご自身の歯並びについて考えていくきっかけになっていただければよいと思います。

不正咬合とは?
不正咬合とは、歯並びや噛み合わせが悪い状態のことをさします。不正咬合だと、見た目が気になるだけではなく、咬みあわせによっては、歯の健康寿命を低くしてしまう可能性もあります。不適切な咬み合わせは異常な歯の咬耗や周りの組織(骨、歯肉)を傷つけてしまうこともあります。また、むし歯や歯周病の間接的な原因となるといわれています。歯が綺麗に並んでいないということは、歯ブラシが届きにくい所ができてしまい、そのため汚れがたまりやすい場所でむし歯や歯周病が起こってしまいます。
不正咬合の種類
(1)叢生(乱ぐい歯、八重歯)
特徴:歯並びが凸凹になり、歯が重なり合っている歯並びの状態。
欠点:歯磨きが行いづらい。虫歯・歯周病になりやすく、口臭が悪化しやすい。

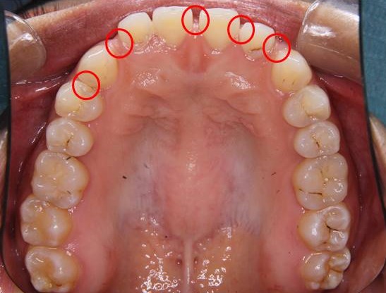
(2)空隙歯列(すきっ歯)
特徴:歯と歯の間に隙間がある歯並びの状態。前歯の中心に隙間があるものを『正中離開』ともいう。
欠点:審美的な問題と発音障害が生まれます。

(3)上顎前突(出っ歯)
特徴:上の前歯が強く前に突き出している状態。
欠点:発音、活舌が悪い。唇が閉じにくく、口呼吸になりやすい。外傷のリスクが2倍あるとの報告もある。

(4)上下顎前突(口ゴボ)
特徴:凸凹の歯並びは少ないが、上下の前歯が強く前に突き出している状態。
欠点:唇が閉じにくく、呼吸になりやすいことから、虫歯・歯周病・口呼吸の原因になる。

(5)過蓋咬合
特徴:上下の歯の重なりが深く、下の前歯が見えないほど深く噛みこんでいる状態
欠点:下の前歯が擦り減る。上の前歯の後ろの歯肉が腫れたりする。

(6) 開咬
特徴:前歯が開いてしまい、上下の歯が噛み合わない状態
欠点:前歯で噛み切ることができない。発音、活舌が悪くなる。

(7)反対咬合(受け口、下顎前突)
特徴:下の前歯が上の前歯より前に出ている状態。
欠点:発音、活舌が悪くなる。唇が閉じにくく、口呼吸になりやすい。

(8)切端咬合
特徴:上の前歯が下の前歯が重ならずに、前歯の先端同士が当たっている。
欠点:発音、活舌が悪い。口呼吸になりやすい。前歯が噛み合う度に過度な負担がかかり、歯の損傷に繋がる。

(9)鋏用咬合
特徴:ハサミのように上の奥歯が外側に、下の奥歯が内側にズレ、上下の奥歯が噛み合わない状態。
欠点:しっかり噛めない。著しい咬耗により歯冠形態の変形が生じる。

(10)交叉咬合
特徴:上と下の奥歯が反対に咬んでいる状態。
欠点:しっかり噛めない。著しい咬耗により歯冠形態の変形が生じる。

まとめ
本日は不正咬合の種類についてご説明させていただきました。本日の内容を見て、自分の歯並びについて気になることがあれば矯正歯科Y’s溝の口の初診無料相談を活用してください。当院では、様々な観点からアドバイスをさせていただきますので、お気軽にご相談ください。スタッフ一同心よりお待ちしております。
監修歯科医師
山口浩司
資格
- 日本矯正歯科学会 認定医
- 日本顎変形症学会 認定医
略歴
- 鶴見大学歯学部 卒業
- 明海大学形態機能成育学講座歯科矯正学分野 入局
- 明海大学形態機能成育学講座歯科矯正学分野 病院助教